Call me back

We’re Accepting New Patients!

Read More Next

Looking for a caring and professional dental practice? We’re excited to welcome new patients to our clinic! Whether you’re due for a check-up, need treatment, or are looking to enhance your smile, our friendly team is here to help.
Contact us today to book your first appointment—we look forward to meeting you!

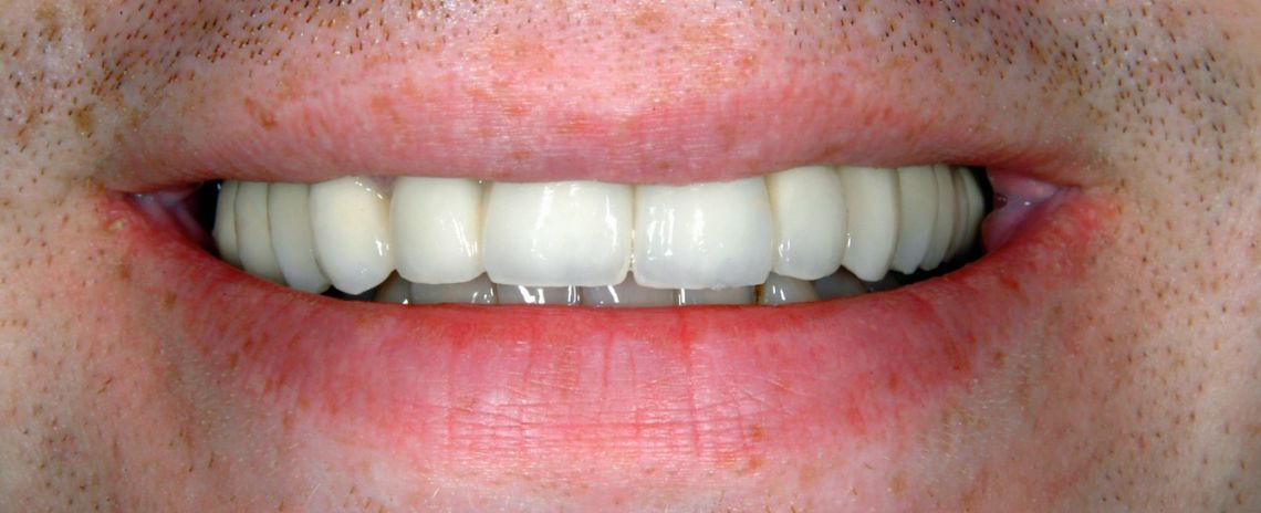
All-on-4™ implant secured dentures

Serving patients throughout West Moors, St Leonards, Ringwood and Verwood

Also referred to as Same Day Smile, All-on-4™ is a revolutionary dental implant treatment offering you natural looking teeth, secure and ready for use in a single day.

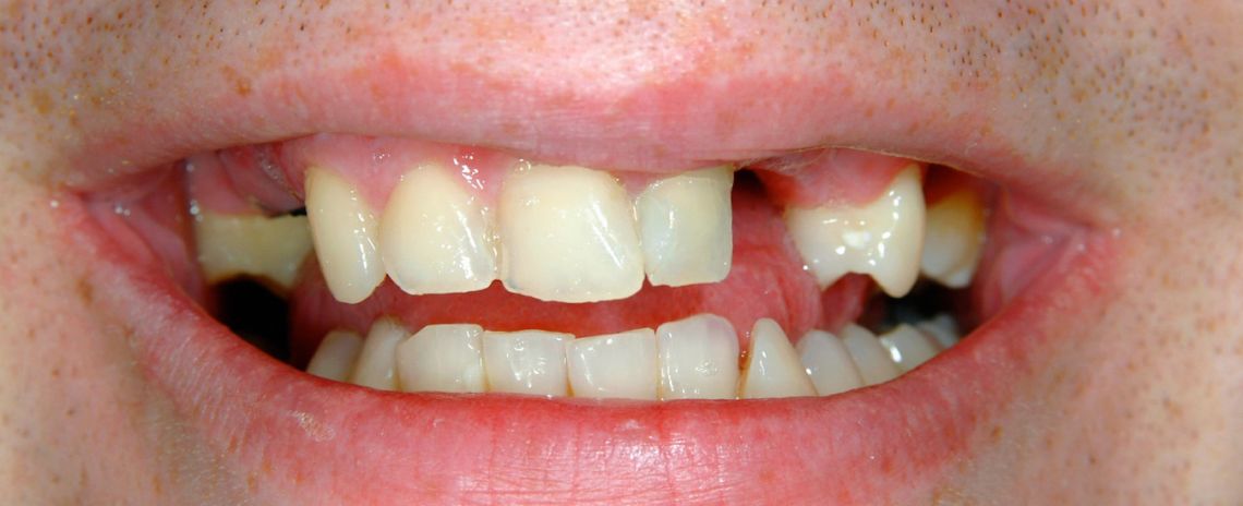
What are implant secured dentures?

Putting it simply, dental implants are artificial roots inserted into the jaw to replace the root of a lost tooth. They are then used to securely fix replacement teeth with a bridge or denture. Traditionally, between six to ten implants are needed to secure a full arch of teeth. During the healing period of up to six months, temporary teeth are fitted and patients are required to avoid excessive pressure until the implants heal enough for their permanent teeth to be attached.

The All-on-4™ difference

Recent developments have resulted in an exciting new procedure - All-on-4™. It allows replacement teeth to be secured using far fewer implants than before. As the name suggests, with All-on-4™, only four implants are required to anchor a bridge or denture. The secret is in the angle of implantation, which increases the strength of the implant so fewer are needed. The permanent replacement teeth can also be fixed on the same day, allowing you to leave Envisage Dental West Moors with a full set of new teeth, securely intact and ready to use!

With All-on-4™ dental implants, you could soon be enjoying teeth that are fixed so securely you’ll forget they’re not the ones you were born with. You’ll be able to relax and eat the things you enjoy, all with the absolute confidence that your teeth won’t slip!

All-on-4™ benefits:

  • Feels utterly natural - All-on-4™ anchors teeth so securely, you’ll soon forget they’re not the ones they were born with
  • Same day smile - Walk out of the dental surgery with a full set of fixed replacement teeth the same day you walked in!
  • A lasting smile - For replacement teeth that are durable and extremely long lasting
  • Simpler and quicker - Uses only four implants to anchor a full arch of replacement teeth
Implant Secured Dentures Video
Play

Our implant dentist, our dentist, has been transforming lives with trusted and highly technical dental implant skills for a number of years. To discuss your individual requirements and treatment options book a consultation with our dentist by calling the reception team on 01202 871053.

Patient Reviews

People are talking about us

The biggest complement we receive is when our patients refer their friends and family to Envisage Dental West Moors. In fact, we have built much of our practice on these valued, trusted recommendations over the years. Read our reviews to hear why our patients are recommending us…

Patient reviews

1165 Reviews

5.0

7th March 2026

I have never enjoyed the dentist, but since coming to Envisage West moors the whole team are wonderful. I no longer feel anxious before attending and cannot recommend the team enough.

JP

jill panaretou

I'm a very nervous patient and my dentist,Carrie, is very patient with me. She is very reassuring. I have found all the staff friendly, kind and caring.

4th March 2026

Everyone so friendly, explained everything they were doing , clean tidy relaxing environment

26th February 2026

As always, I was attended to with total professionalism by all involved with my appointment.

25th February 2026

The advice given to prevent further gum issues

S

Stephanie

My first visit was very encouraging. The staff were friendly and helpful and Rami talked through the process in detail. After a thorough check up I only have a couple of sensitive teeth and he even gave me some toothpaste to help.

20th February 2026

All very good

18th February 2026

Overall experience as always was fantastic

18th February 2026

A crown had come loose during my holiday. On returning home I attended the clinic for repair. I was able to have my crown fixed almost immediately. A very good and efficient service.

MF

Mi Flamenco

Lovely kind reception. Sevi is a gentle, efficient understanding dentist who really listens. Great when you are a nervous patient!

11th February 2026

Both the reception staff were very welcoming and pleasant, the dentist and assistant were very friendly and efficient

11th February 2026

All staff were friendly, courteous and professional. The appointments took place punctually and the treatments/examinations carried out with full explanations. Good work everyone.

SF

Suzanne Forrest

Got a very warm and friendly welcome,very caring dentist and impecable attention to detail,very satisfied with everything.

10th February 2026

The dentist Sevi is absolutely wonderful & is extremely patient, kind & welcoming to my elderly mum who has dementia. Sevi treated my Mum with utter compassion & care. The dental nurse was also caring and helpful. The reception staff are super helpful & friendly too.

BG

Belinda Garlick

I broke a tooth at the weekend and was afraid I wouldn't get an appointment with Rami quickly. I was treated as an emergency and appointment was 9.50 thus morning. No waiting around. Rami was so professional, took an xray and talked me through my options. I felt confident that I was getting expert advice and fabulous care and attention.

MY

Mark Young

Very helpful and polite

5th February 2026

Staff exhibit great professionalism, are helpful, fully explain what they are doing and their findings.

5th February 2026

Excellent care and treatment.

4th February 2026

As ever very friendly and professional the Hygenist is brilliant even when it hurts

JE

James Emerson

Everything was as I expected highly professional, very organised and a good experience, my compliments to Simi my dentist and Elena on reception,

Prev Previous
Next Next

Why choose us?

Air Purifier - Virus Killer

Air Purifier
- Virus Killer

Five Star Customer Service

Five Star
Customer Service

Invisalign Provider

Invisalign
Provider

State Of The Art Facilities

State Of The
Art Facilities

Leading Dental Care

Leading
Dental Care