Call me back

We’re Accepting New Patients!

Read More Next

Looking for a caring and professional dental practice? We’re excited to welcome new patients to our clinic! Whether you’re due for a check-up, need treatment, or are looking to enhance your smile, our friendly team is here to help.
Contact us today to book your first appointment—we look forward to meeting you!

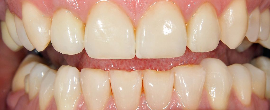
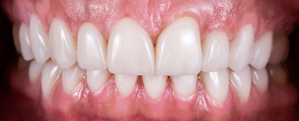
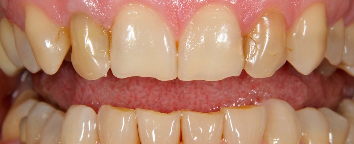
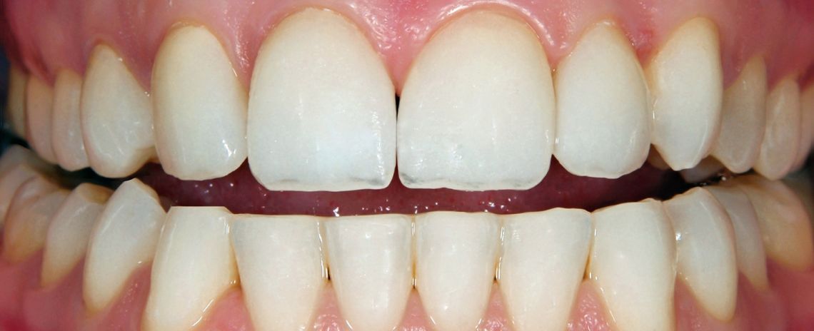
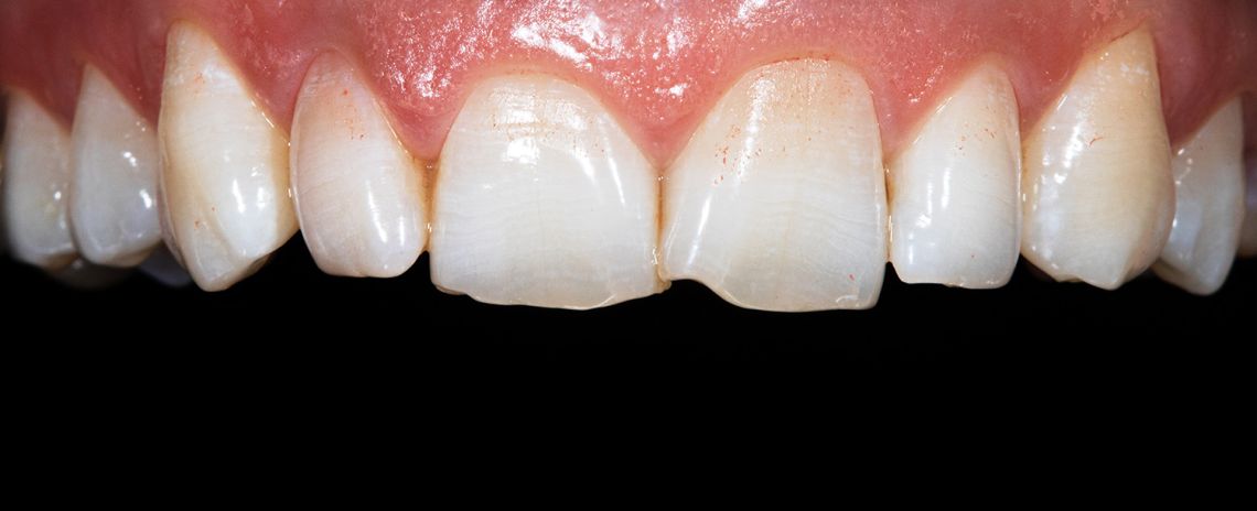
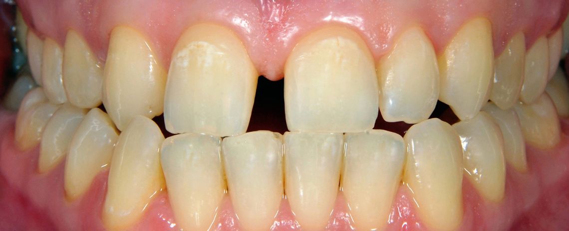
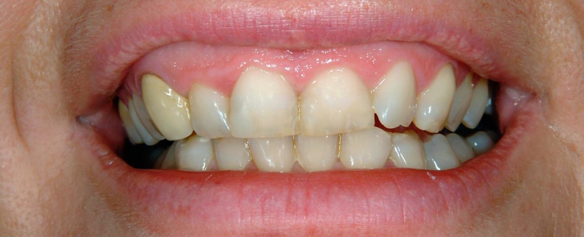
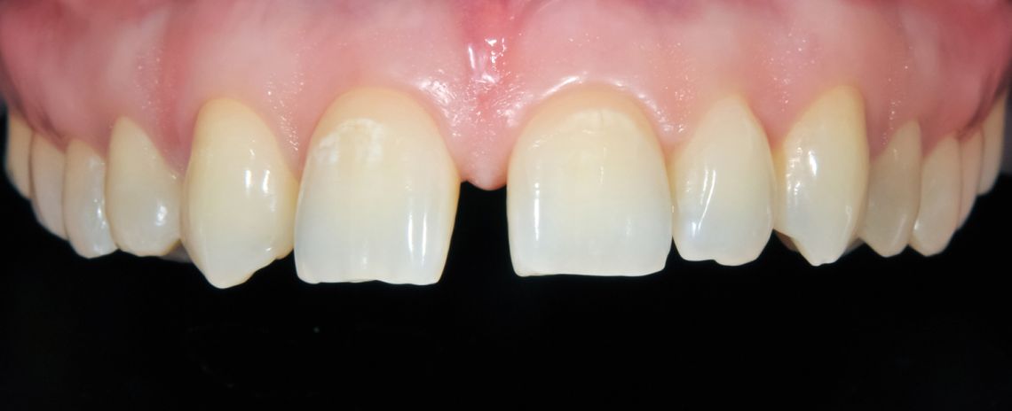
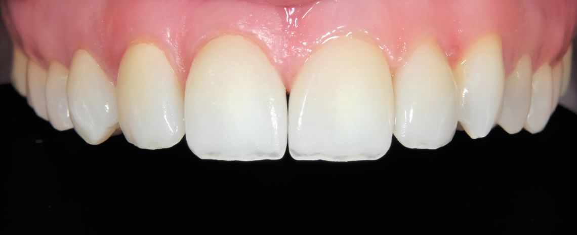
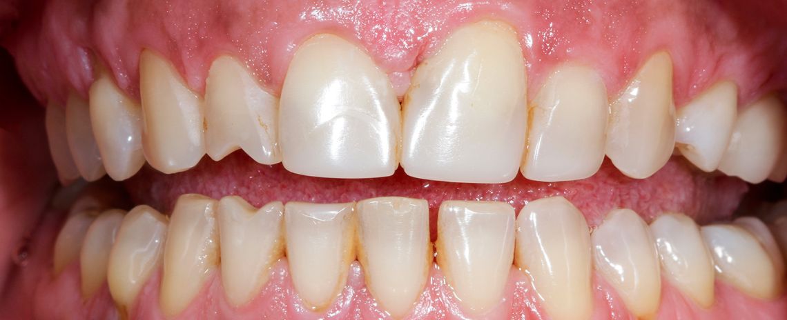
Composite bonding

A non-invasive use of tooth-coloured filling material to lengthen or re-shape the front teeth.

Bonding uses a composite resin to close spaces, change the colour of the teeth, mask any discolorations, repair chips, change the size or shape of teeth, and give crooked or uneven teeth a straight-looking appearance.

Cosmetic bonding can be used on a single tooth or transform an entire smile. It is a simple technique that allows the white filling material to bond to the natural tooth, usually without the need to prepare/shape the tooth and is completed in one short visit. Another advantage of this technique is that an anaesthetic is not normally required, allowing you to smile with confidence, immediately. An artistic eye is required in order to produce natural seamless results and the dental team at Envisage Dental West Moors have trained extensively in this procedure, transforming many smiles.

After cosmetic bonding, your new smile should last several years depending on your lifestyle. Smoking, drinking or using your teeth as tools, may reduce the life expectancy of the bonding and you may need to get your teeth polished once a year as the bonding material stains more readily than natural teeth.

Call us on 01202 871053 to book a consultation and discuss your smile makeover options.

Meet the team

Caroline Willcocks

Dentist

GDC NO. 80570

Rami Abu Farha

Dentist

GDC NO. 279549

Previous
Next
Patient Reviews

People are talking about us

The biggest complement we receive is when our patients refer their friends and family to Envisage Dental West Moors. In fact, we have built much of our practice on these valued, trusted recommendations over the years. Read our reviews to hear why our patients are recommending us…

Patient reviews

1116 Reviews

5.0
SR

Steve Randall

The Dentist Caroline Willcocks is absolutely outstanding. All the Desk staff are so professional and polite.

GK

Gillian Kinge

Always very good and friendly service. Receptionists always friendly & helpful, Dentists are very good as is the Hygienist who is excellent.

7th January 2026

Efficient and friendly (as always). Pleasant environment. I was invited to attend 30 minutes before the appointment because of cancellations. That was great and suited me very well.

21st December 2025

Always greeted with a smile from reception staff ,which is very important. My dentist, Rami, is always great, as are the dental nurses. As a terrified patient this is essential!

20th December 2025

Despite reception staff illness and the desk being attended by one of the dentists, everything was running smoothly and efficiently. There was a welcoming friendly atmosphere.

19th December 2025

Great service as always

19th December 2025

I was early for my appointment but I was also seen before my allotted appointment time - everyone was welcoming, friendly and professional as always! Always greeted with a smile :-)

18th December 2025

I need a fairly urgent appointment (not in pain) and received one the day after next from when I requested it. Dentist said the tooth should probably be extracted, she could fill it but did not want to waste my money. I opted try a filling.

17th December 2025

Very professional. Clean and tidy reception. Well presented staff. Knowledgeable staff excellent service. Would highly recommend. Well done

GC

Grahame Cutler

Very good service very quick

17th December 2025

They look after me: they care for my teeth, my general well-being, they look for potential problems in the teeth, mouth and jaw. They offer advise.Best of all they are very gentle

AH

Alison Hayter

Reception staff super friendly. Dentist thorough and professional. Very happy with service received.

17th December 2025

all the staff are very friendly and Caroline always makes you feel at ease

JH

Jane Hoy

All the staff at Envisage are very friendly and helpful..I have Rami for my dentist, Seema my hygienist, dental nurses very nice, Receptionists very friendly. Makes it a pleasure to visit rather than a dread ! X

JW

Jude Wateridge

My hygienist, Amy is really friendly and chatty and I love how clean my teeth are when I leave her ! My dentist, Rami is very gentle and softly spoken, really knowledgeable and thorough.

AM

Andrew Moore

Caroline is an excellent dentist. I value her opinion and honesty. I was seen immediately (no wait), all the staff are excellent. I can't fault Envisage. I've been twice and will continue to have appointments here.

11th December 2025

Experience over many years

11th December 2025

Everybody is always very friendly, professional and helpful.

11th December 2025

Polite, cheerful, professional treatment.

11th December 2025

I've selected top marks for all question in this survey. These are the reasons I am highly satisfied with my visit. I also appreciate Caroline's honesty.

Prev Previous
Next Next