Call me back

We’re Accepting New Patients!

Read More Next

Looking for a caring and professional dental practice? We’re excited to welcome new patients to our clinic! Whether you’re due for a check-up, need treatment, or are looking to enhance your smile, our friendly team is here to help.
Contact us today to book your first appointment—we look forward to meeting you!

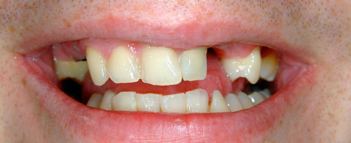
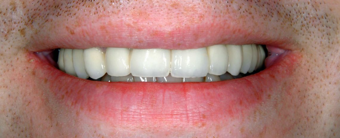
Dentures

Dentures are used to replace the function and appearance of natural teeth and restore your smile. Whether you are missing one tooth or many, we can carefully design a solution that’s right for you.

At Envisage Dental West Moors our dentures are durable and long-lasting, enable you to eat more foods and chew more easily, and help avoid further tooth loss.

Your dentist will work alongside a team of experienced clinical dental technicians to carefully craft bespoke, natural dentures designed for your comfort, function and longevity.

Made from the highest quality acrylic resin using next-generation digital design and production tech, Dentures from Envisage Dental West Moors are the ultimate non-permanent solution to missing teeth. This master craftsmanship and premium materials ensures each set of dentures is indistinguishable from beautiful natural teeth.

We offer a range of dentures to meet your individual needs:

Dentures Video
Play
Partial Dentures Video
Play

Full dentures

Full dentures from Envisage Dental West Moors in West Moors are carefully designed for a millimetre perfect fit, ensuring a comfortable and non-slip fit for years to come. They are the recommended option for replacing a full row or arch of teeth. Our full dentures are designed to look and function just like natural teeth.

Partial dentures and overdentures

When missing teeth cause a gap in the smile, partial dentures, or overdentures, are a functional, lifelike replacement. We offer an extensive range of materials and colour options to match partial dentures to your existing teeth. They are an effective and reliable way to restore both function and aesthetics and give you your confidence back.

Implant-retained dentures

For the ultimate in comfort and convenience, ask your Envisage Dental West Moors dentist about implant-retained dentures. With this solution your denture is secured in place using one or several secure titanium implants in the jaw. These securely anchoring your denture in place so you no longer have to worry about slippages, discomfort and the daily fight with adhesive.

If you are looking for dentures in West Moors, St Leonards, Ringwood and Verwood and want to know more about your options, get in touch to arrange a consultation at Envisage Dental West Moors.

Dentist

Rami Abu Farha

Rami has been with Envisage West Moors since 2020, he brings with him a wealth of experience in general and cosmetic dentistry. With a calm and gentle approach, Rami’s key focus is developing effective treatment programs with patients suffering from periodontal disease, tooth decay and TMJ. As our leading Invisalign provider, Rami has helped make over the smile of many satisfied patients,...

Rami Abu Farha
Patient Reviews

People are talking about us

The biggest complement we receive is when our patients refer their friends and family to Envisage Dental West Moors. In fact, we have built much of our practice on these valued, trusted recommendations over the years. Read our reviews to hear why our patients are recommending us…

Patient reviews

1118 Reviews

5.0

8th January 2026

Always courteous, prompt and understanding. No rush and plenty of opportunity to discuss treatment and/or ask for advice. Pleasant experience

8th January 2026

Friendly happy welcoming staff. Very clean premises, cleanliness of examination room,excellent dentist and assistants. Pleased to be one of its patients!

SR

Steve Randall

The Dentist Caroline Willcocks is absolutely outstanding. All the Desk staff are so professional and polite.

GK

Gillian Kinge

Always very good and friendly service. Receptionists always friendly & helpful, Dentists are very good as is the Hygienist who is excellent.

7th January 2026

Efficient and friendly (as always). Pleasant environment. I was invited to attend 30 minutes before the appointment because of cancellations. That was great and suited me very well.

21st December 2025

Always greeted with a smile from reception staff ,which is very important. My dentist, Rami, is always great, as are the dental nurses. As a terrified patient this is essential!

20th December 2025

Despite reception staff illness and the desk being attended by one of the dentists, everything was running smoothly and efficiently. There was a welcoming friendly atmosphere.

19th December 2025

Great service as always

19th December 2025

I was early for my appointment but I was also seen before my allotted appointment time - everyone was welcoming, friendly and professional as always! Always greeted with a smile :-)

18th December 2025

I need a fairly urgent appointment (not in pain) and received one the day after next from when I requested it. Dentist said the tooth should probably be extracted, she could fill it but did not want to waste my money. I opted try a filling.

17th December 2025

Very professional. Clean and tidy reception. Well presented staff. Knowledgeable staff excellent service. Would highly recommend. Well done

GC

Grahame Cutler

Very good service very quick

17th December 2025

They look after me: they care for my teeth, my general well-being, they look for potential problems in the teeth, mouth and jaw. They offer advise.Best of all they are very gentle

AH

Alison Hayter

Reception staff super friendly. Dentist thorough and professional. Very happy with service received.

17th December 2025

all the staff are very friendly and Caroline always makes you feel at ease

JH

Jane Hoy

All the staff at Envisage are very friendly and helpful..I have Rami for my dentist, Seema my hygienist, dental nurses very nice, Receptionists very friendly. Makes it a pleasure to visit rather than a dread ! X

JW

Jude Wateridge

My hygienist, Amy is really friendly and chatty and I love how clean my teeth are when I leave her ! My dentist, Rami is very gentle and softly spoken, really knowledgeable and thorough.

AM

Andrew Moore

Caroline is an excellent dentist. I value her opinion and honesty. I was seen immediately (no wait), all the staff are excellent. I can't fault Envisage. I've been twice and will continue to have appointments here.

11th December 2025

Experience over many years

11th December 2025

Everybody is always very friendly, professional and helpful.

Prev Previous
Next Next